Details of DPV and References
DPV NO: 331 September 1988
Family: Caulimoviridae
Genus: Soymovirus
Species: Soybean chlorotic mottle virus | Acronym: SbCMV
Soybean chlorotic mottle virus
T. Hibi Laboratory of Applied Microbiology, National Institute of Agrobiological Resources, Tsukuba Science City, Kannondai, Ibaraki 305, Japan
M. Kameya-Iwaki Division of Microbiology, National Institute of Agro-Environmental Sciences, Tsukuba Science City, Kannondai, Ibaraki 305, Japan
Contents
- Introduction
- Main Diseases
- Geographical Distribution
- Host Range and Symptomatology
- Strains
- Transmission by Vectors
- Transmission through Seed
- Transmission by Grafting
- Transmission by Dodder
- Serology
- Nucleic Acid Hybridization
- Relationships
- Stability in Sap
- Purification
- Properties of Particles
- Particle Structure
- Particle Composition
- Properties of Infective Nucleic Acid
- Molecular Structure
- Genome Properties
- Satellite
- Relations with Cells and Tissues
- Ecology and Control
- Notes
- Acknowledgements
- Figures
- References
Introduction
Described by Iwaki et al. (1984).
A virus with spherical particles about 50 nm in diameter containing a single molecule of circular double-stranded DNA. The particles occur in electron-dense inclusion bodies in the cytoplasm. The virus has been found only in Japan and only in soybean, but is readily transmitted by mechanical inoculation to a few other species of Leguminosae. Vector unknown.
Main Diseases
Causes chlorotic mottling and mosaic on the leaves (Fig. 1) and stunting (Fig. 2) in soybean (Iwaki et al., 1984) followed by significant decrease in yield.
Geographical Distribution
Found only in Japan (Iwaki et al., 1984).
Host Range and Symptomatology
The virus was transmitted by inoculation of sap to only four plant species, all in the Leguminosae: Glycine max, Dolichos lablab, Phaseolus vulgaris and Vigna unguiculata (Iwaki et al., 1984).
-
Diagnostic species
- Glycine max
(soybean): Symptoms on mechanically inoculated plants depend on the cultivar. Cv. Tamahikari at first shows vein clearing and chlorosis on young leaves, followed by mottling and stunting of the plants; sometimes in the late stages of infection the lateral buds grow vigorously and show mottle symptoms. Cv. Akasaya shows vein clearing, mottling and curling on young leaves; infected plants are slightly stunted. Symptoms appear after an incubation period of about 30 days in winter (22-27°C) or about 20 days in summer (24-30°C). - Phaseolus vulgaris (French bean): Inoculated leaves show chlorotic local
lesions after 7-14 days (Fig. 3). Chlorotic spots, vein clearing,
mottling and leaf-curling appear on systemically infected leaves.
- Dolichos lablab (lablab bean): Vein clearing on systemically infected leaves.
- Vigna unguiculata (cowpea) cv. Blackeye: Infected systemically without symptoms.
- Dolichos lablab (lablab bean): Vein clearing on systemically infected leaves.
-
Propagation and assay species
- P. vulgaris
cv. Kintoki, and G. max: Highly infective inoculum is obtained from the upper leaves of systemically infected plants. Also suitable for whole plant assay.
Strains
No strain differences reported.
Transmission by Vectors
Not transmitted by the aphids Acyrthosiphon pisum, Aphis craccivora, Aphis glycines, Aulacorthum solani or Myzus persicae in either the non-persistent or persistent manner (Iwaki et al., 1984). The vector of the virus is unknown.
Transmission through Seed
Not transmitted through seeds of soybean (Iwaki et al., 1984).
Serology
The virus is moderately immunogenic. Rabbit antisera with titres of 1/512 in agar gel diffusion tests are readily obtained. In double-diffusion tests in 0.8% agar gel the virus particles form a single precipitin band. The particles diffuse slowly and the antigen wells should be filled 6 h before the antiserum wells (Iwaki et al., 1984).
Relationships
The properties of the virus (spherical particles about 50 nm in diameter containing circular double-stranded DNA and occurring in inclusion bodies) indicate that it belongs to the caulimovirus group. However, it is not serologically related to cauliflower mosaic virus (Iwaki et al., 1984), carnation etched ring virus (Iwaki et al., unpublished data) or peanut chlorotic leaf streak virus (D. V. R. Reddy, unpublished data). Comparison of cloned DNA of soybean chlorotic mottle virus and cauliflower mosaic virus by Southern transfer hybridization and restriction endonuclease mapping indicated no significant sequence homology (Verver et al., 1987). Peanut chlorotic leaf streak virus (Iizuka & Reddy, 1986) resembles soybean chlorotic mottle virus in particle structure, inclusion type, sap transmissibility and stability in crude sap, but has a wider host range, including 24 plant species in five families.
Stability in Sap
In soybean sap, the thermal inactivation point is 85-90°C (10 min), the dilution end-point is 10-3-10-4, and the virus retains infectivity for 1-3 days at 20°C (Iwaki et al., 1984).
Purification
(Iwaki et al., 1984). Pick the upper leaves of systemically infected Kintoki bean 20-30 days after inoculation and freeze them. Grind the frozen leaves with 0.5 M potassium phosphate buffer, pH 7.2, containing 0.75% sodium sulphite (3-4 ml buffer/g leaf tissue) and filter through gauze. To the filtrate add Triton X-100 to 2.5% and urea to 1 M and mix for 60 min; centrifuge at 124,800 g for 90 min and resuspend the pellets in distilled water (0.1 ml/g leaf tissue). Add chloroform to 20% (v/v) and butan-1-ol to 5% (v/v), mix for 1 min and then centrifuge the emulsion at 7000 g for 10 min. Float the aqueous phase on 10-40% linear sucrose density gradients and centrifuge at 74,700 g for 150 min. Remove the light-scattering zone of virus particles and centrifuge at 126,800 g for 90 min Resuspend the pellets in distilled water. The yield of virus is 1-5 mg per kg fresh tissue.
Properties of Particles
The virus particles sediment as a single component in sucrose density gradients (Iwaki et al., 1984). They are not readily disrupted in any of the common protein-denaturing solvents or chaotropic reagents. Proteolysis with either Pronase or proteinase K in the presence of dodecyl sulphate is effective in releasing DNA (Hibi et al., 1986).
Particle Structure
Approximately spherical particles c. 50 nm in diameter (Fig. 6) (Iwaki et al., 1984).
Particle Composition
Nucleic acid: Double-stranded DNA of 8.15 kbp, M. Wt about 5.45 x 106, determined by electrophoresis in 1.1% agarose gels (Hibi et al., 1986; Verver et al., 1987). G + C = 30%; Tm = 81.6°C in 0.15 M NaCl, 0.015 M citrate (pH 7.0) with hyperchromicity of 38.4%; buoyant density = 1.688 g/cm3 in CsCl (Hibi et al., 1986). Most preparations contain linear and circular DNA forms, as revealed by electron microscopy and gel electrophoresis (Hibi et al., 1986). The linear molecule is probably a breakage product of the circular form (Hibi et al., 1986; Verver et al., 1987). Viral DNA that has been cloned in E. coli is infective for plants (Verver et al., 1987).
Protein: No information.
Genome Properties
The viral genome has been mapped physically with the aid of restriction endonucleases (Verver et al., 1987). The dsDNA is a relaxed molecule (i.e. not supercoiled) and has interruptions at specific sites (gap sites), one in one strand (a-strand) and two in the other (Verver et al., 1987) (Fig. 7). There is a sequence of 12 nucleotides corresponding to the 3'-terminal part of plant tRNAiMet around the gap site of the a-strand, and purine-rich sequences around the gap sites of the other strand; these are possibly potential primer sites for reverse transcription (Verver et al., 1987), similar to those of cauliflower mosaic virus DNA (Maule, 1985).
Relations with Cells and Tissues
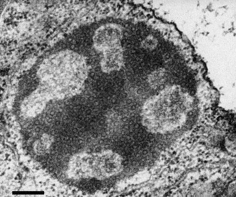
Inclusion bodies similar to those produced by caulimoviruses (Shepherd, 1981; Hull, 1984) occur in the cytoplasm of cells infected with soybean chlorotic mottle virus (Fig. 4, Fig. 5). The inclusions are frequently ovoid or elliptical and consist of an amorphous, vacuolated, electron-dense matrix. The virus particles are found only in the inclusion bodies (Iwaki et al., 1984).
Notes
Soybean chlorotic mottle virus resembles soybean mosaic potyvirus (Bos, 1972) in symptoms and host range, but differs from it in inducing systemic infection in Phaseolus vulgaris cv. Top Crop. Soybean chlorotic mottle virus is easily distingushed from peanut chlorotic leaf streak caulimovirus (D. V. R. Reddy, unpublished data) in host range. Other legume viruses that resemble soybean chlorotic mottle virus in being sap-transmissible and in having narrow host ranges restricted to leguminous plants (such as peanut mottle, southern bean mosaic and bean pod mottle viruses) are distinguishable from it in particle size, morphology, serological properties and in symptoms on cowpea, pea and soybean.
Figures
Inclusion body in the cytoplasm of a soybean leaf cell seen with the electron microscope. Note the vacuolated, electron-dense matrix with embedded virus particles. Bar represents 200 nm.
Inclusion bodies (arrows) in epidermal cells of bean seen with the light microscope. The tissue was stained with l% phloxine for a few minutes and then repeatedly rinsed in saline.
Physical map of cloned soybean chlorotic mottle virus DNA (outer circle), showing restriction sites (solid triangles) and gap sites (open triangles). The polarity of the virus particle DNA with respect to the map is shown by the two inner circles. Black dots indicate 5' termini of a, b and g strands. The map positions of the sites in kilobase-pairs are indicated between parentheses (Verver et al., 1987).
References list for DPV: Soybean chlorotic mottle virus (331)
- Bos, CMI/AAB Descriptions of Plant Viruses 93, 4 pp., 1972.
- Hibi, Iwaki, Saito, Verver & Goldbach, Ann. phytopath. Soc. Japan 52: 785, 1986.
- Hull, CMI/AAB Descriptions of Plant Viruses 295, 4 pp., 1984.
- Iizuka & Reddy, Tech. Bull. trop. Agric. Res. Center, Japan No.21, 164, 1986.
- Iwaki, Isogawa, Tsuzuki & Honda, Pl. Dis. 68: 1009, 1984.
- Maule, in Molecular Plant Virology, vol. II p. 161, ed. J. W. Davies, Boca Raton: CRC Press, 229 pp., 1985.
- Shepherd, CMI/AAB Descriptions of Plant Viruses 243, 6 pp., 1981.
- Verver, Schijns, Hibi & Goldbach, J. gen. Virol. 68: 159, 1987.